While x-rays can be used to examine what's inside a human body, their use is limited. X-rays are harmful to tissue, so you can't have too many of them, and x-rays only see large details.

By using a large magnet and radio waves, doctors can examine the tissues inside your body safely, and look for signs of disease before the problem spreads.

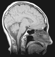
A magnetic resonance imaging machine takes pictures of your body in 'slices' ... it scans it one slice at a time, and then a computer is used to make a full three-dimensional image of the part of your body being examined. At the right, you can see an MRI picture of one 'slice' through a person's head. Much more detail is possible than with an x-ray, and as many 'slices' can be photographed as necessary, without harming the patient.

Let's look at how these machines use magnets to take a photograph!


We have already shown how a strong magnetic field can affect the molecules of a diamagnetic material, like human tissue, even though those molecules aren't themselves 'magnetic'. When your body is placed inside the huge circular magnet that makes up most of the MRI machine, a very strong magnetic field acts on all the molecules in your body.

This field is so strong that no ferromagnetic material is allowed anywhere near the machine; the magnet is strong enough to cause anything metallic to fly across the room towards the machine, possibly injuring someone.

All of the molecules in your tissues, (which are diamagnetic), contain hydrogen atoms . These atoms react to the magnetic field by lining up with the field, in an up or down direction. The machine now bathes a part of your body in radio waves (also harmless). These waves cause some of the hydrogen atoms to change the direction they're pointing.

Finally, the radio waves are turned off. This allows those hydrogen atoms that changed direction to turn back into alignment with the magnetic field. When they do, they give off energy which can be detected. The MRI machine measures how long it took those hydrogen atoms to return to their previous alignment.
How long this takes is different for different types of tissue, especially if the strength of the magnetic field is also changed for each region, so a computer can draw a picture based on the different 'return times' of hydrogen atoms in various places in your tissues, supplying a different shade or colour for each region where the time was different . Diseased tissue in particular will show a different 'return time' for the hydrogen atoms than the healthy tissue around it, and will stand out in the image.


The strength of a magnetic field is measured in unit called a 'gauss'. An MRI machine uses a magnet with a field strength of up to to 20,000 gauss. For comparison, the strength of the Earth's magnetic field is only 0.5 gauss. As mentioned above, unless precautions are taken, metal objects in the room with the MRI machine can become dangerous projectiles; paperclips, pens, keys, or scissors can be pulled out of pockets and sent flying toward the opening of the magnet (where the patient is placed) at very high speeds. Also, information on the magnetic strip of credit cards and bank cards will be erased by the field from the MRI machine.

There are no known dangers to humans from being exposed to magnetic fields of this strength; however, imaging is not done on pregnant women because of the lack of research in this area.


Magnetic resonance imaging is ideally suited for:
  • Diagnosing multiple sclerosis (MS)
  • Diagnosing brain tumours
  • Diagnosing spinal infections
  • Visualizing torn ligaments in the wrist, knee and ankle
  • Visualizing shoulder injuries
  • Evaluating bone tumours, and herniated discs in the spine
  • Diagnosing strokes in their earliest stages

The drawbacks of MRI? Here are a few:
  • People with pacemakers can't safely be scanned.
  • Some people are too big to fit inside the magnet.
  • Some people suffer from claustrophobia, and find the confinement discomforting.
  • The machine makes a very loud continuous hammering noise when operating.
  • Extreme precautions must be taken to keep metallic objects out of the room where the machine is operating.
  • MRI scans require patients to hold very still for long periods of time ... up to 90 minutes or more in some cases.
  • MRI systems are very expensive to purchase, and as a result the exams are also very expensive.


Magnet Madness